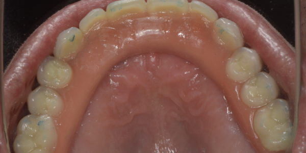
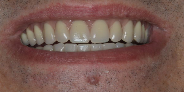
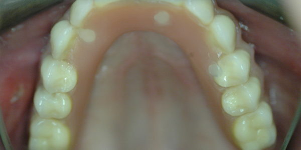
La técnica All-on-Four es un tratamiento de implantología avanzada que permite colocar una prótesis fija completa sobre solo cuatro implantes dentales.
Está especialmente diseñada para personas sin dientes o con dentaduras muy deterioradas, y ofrece resultados inmediatos: en la mayoría de los casos, el paciente entra a la clínica sin dientes y sale ese mismo día con una sonrisa funcional y estética.
Gracias a la colocación estratégica de los implantes, se evita la necesidad de injertos óseos y se reduce significativamente el tiempo de tratamiento.













